Jürg Oehrli – ein heldenhafter Einsatz

Als Kommandant der burgerlichen Ehrenformation ist man allerlei Gefahren ausgesetzt. Jürg Oehrli, derzeitiger Hauptmann der burgerlichen Ehrengarde musste dies am diesjährigen Zibelemärit anlässlich der Wahl des neuen Oberzibelegrings am eigenen Leib erfahren.

Gemeinde

Jürg Oehrli, Kommandant der burgerlichen Ehrenformation im Einsatz

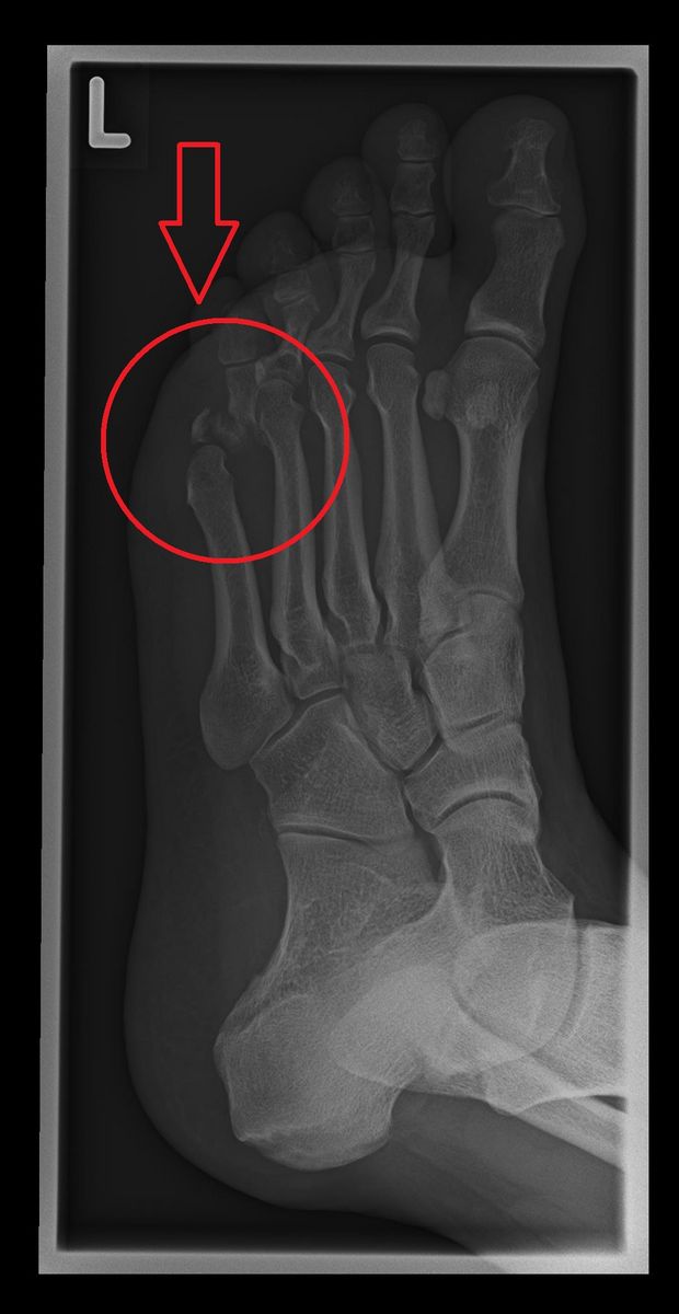
Der gebrochene Zeh infolge des Unfalls

TEXT: JULIA MARZONER; BILDER JONAS KAMBLI UND ZVG

Kommandant Oehrli, sein Fähnrich und vier weiteren Reismusketen läuteten am diesjährigen Zibelemärit mit dem «Ausschiessen» um halb zwölf vor dem Berner Rathaus den Umzug der Zibelegringe zum Kursaal ein. Derweil leiteten Verkehrspolizisten den Verkehr an den Schützen vorbei. Nach der Schussabgabe überwachte Oehrli gerade die Musketen, das korrekte Verstauen des Schiesspulvers und der übrigen Ausrüstung seiner Truppe, dabei erwischte ihn plötzlich bei einem Schritt zur Seite das Hinterrad eines vorbeifahrenden Autos am Fuss. Fuss und Bänder überdehnten sich, unter der Last des Wagens brach der kleine Zeh. Woher das Fahrzeug gekommen war und wieso die Polizisten es übersehen konnten, weiss Oehrli nicht, seine Aufmerksamkeit war ganz auf seine Arbeit als Kommandant gerichtet. Die Aufregung nach dem Unfall war gross, schnell waren Ambulanz und Polizei vor Ort, um den Verletzten zu versorgen und den Hergang zu protokollieren.

Oehrli liess es sich aber nicht nehmen, noch rasch die Übergabe des Kommandos der Schützen zu regeln, schliesslich gehört das zu den Aufgaben eines gewissenhaften Kommandanten. Dann brachte ihn der Krankenwagen ins Spital. Während in der Stadt die Ehrenformation wie geplant den Umzug anführte und mit ihren Salven ein tolles Spektakel für die Zuschauer bot, wurde Oehrlis linker Fuss untersucht und versorgt. Während er im Spital auf die medizinischen Befunde wartete, hielten ihn seine Kollegen per SMS über alles auf dem Laufenden: über geglückte Salven, das Spalierstehen und den gesamten Anlass der Gilde der Zibelegringe der Stadtschützen Bern. Als Oehrli dann die Nachricht erhielt, dass der ehemalige Burgergemeindepräsident Rolf Dähler zum neuen Oberzibelegring gewählt worden war, war er nicht mehr zu halten. Mit dem rasch erteilten Segen seiner Ärzte verliess er das Krankenhaus schnurstracks Richtung Kursaal, um Dähler zur Ehrung zu gratulieren. Diesen freute es, seinen Kommandant wieder auf den Beinen zu sehen. Er verabschiedete ihn später mit den besten Genesungswünschen.

Oehrli nimmt den Unfall mit Humor. Ein «purple heart», die militärische Auszeichnung für im Kampf verletzte US-Soldaten, sollte ihm verliehen werden, meint er scherzend. Ansonsten ist sein Job aber sicher: In den vergangenen 30 Jahren des Bestehens der Ehrenformation ist es zu keinem nennenswerten Unfall gekommen, obwohl mit Schiesspulver und Musketen hantiert wird. Für nächstes Jahr wird sich Oehrli allerdings nicht auf diese Statistik verlassen, sondern den Fahnenträger anweisen, während des «Ausschiessens» Fahrzeuge von der Ehrenformation der Burgergemeinde auf Distanz zu halten.

top